Zapisy telefoniczne
+48 690 931 336
Pokaż menu
O nas
Katarzyna Kajka-Hawryluk
Agnieszka Rakowska
Joanna Węgrzecka
Oferta
Higiena, warsztaty, adaptacja
Leczenie nakładkowe
Ortodoncja
Stomatologia
WARSZTATY SZKOLNE
Ortodoncja - przypadki
Dzieci i młodzież - leczenie ortodontyczne
Dorośli - leczenie ortodontyczne
Leczenie nakładkowe
Ciekawostki
Do pobrania
Cennik
Warsztaty mycia zębow / Higiena stomatologiczna
Cennik Pedodoncja / Stomatologia Zachowawcza
Cennik Ortodoncja
Galeria
Gabinet
Rysunki dzieci
Kontakt/ godziny pracy
Kids DENTAL
Inne miejsca pracy
OCHRONA DANYCH
Pokaż menu
Ortodoncja - przypadki
Dzieci i młodzież - leczenie ortodontyczne
Dorośli - leczenie ortodontyczne
Leczenie nakładkowe
Spark Clear Aligner
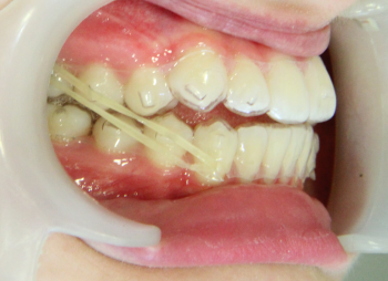
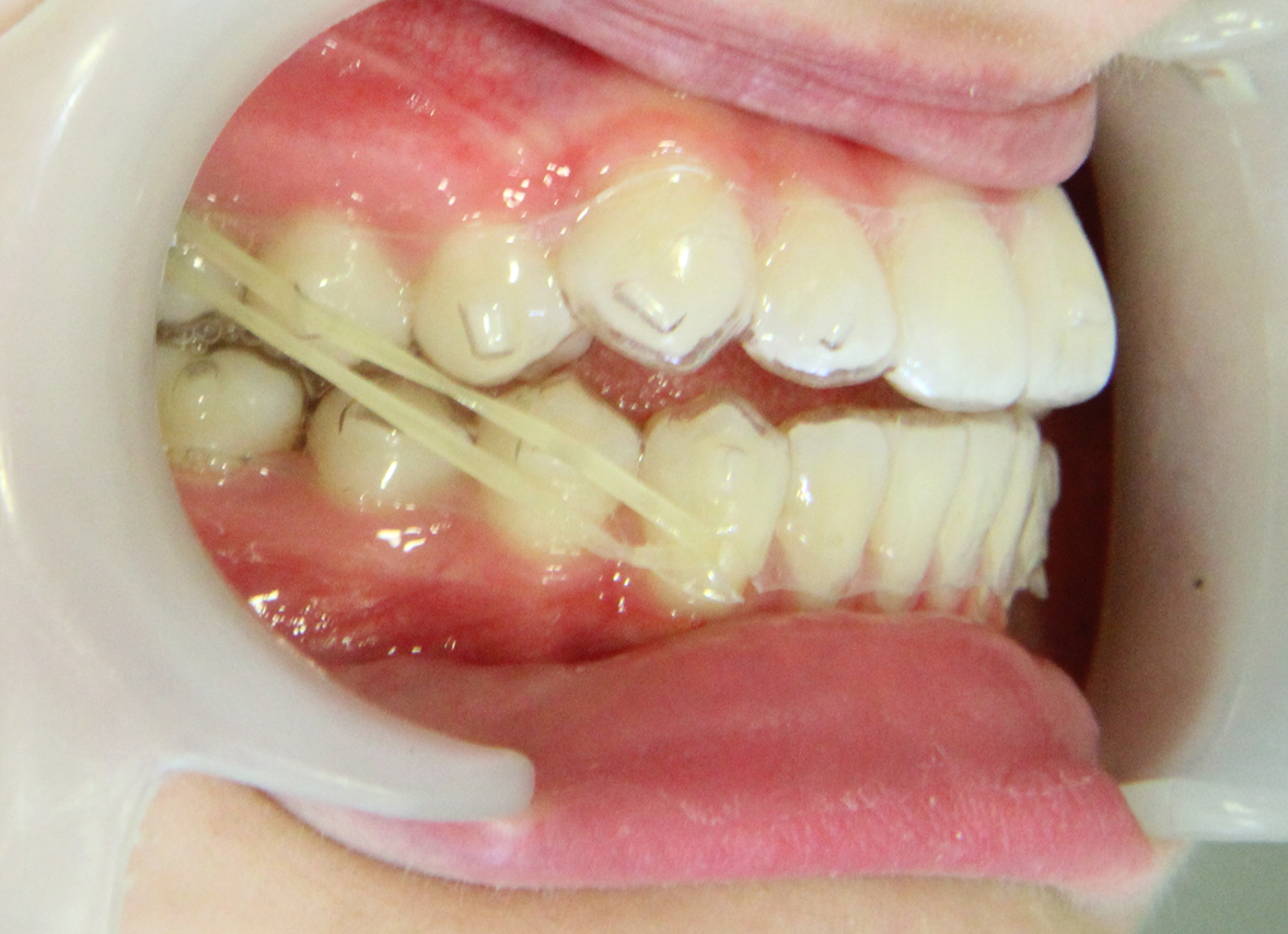
Stłoczenie i brak prawidłowej funkcji. Leczenie z jednym zestawem nakładek dodatkowych - 12 m-cy.